泣く子がいない歯医者
当院ではお子さんの成長に合わせてできることを少しずつ進めていきます。だから、当院では泣く子がほとんどいません。 普通の歯科医院では泣いても無理に治療をすることがよくあります。そのせいでお子さんは歯医者嫌いになり、むし歯がひどくなってしまうのです。 当院にはお子さんを泣かさずにむし歯0を目指せる仕組みがあります。お子さんが泣かずに通ってむし歯0を目指したいと思われる方には最適な歯医者です。
小児矯正
当院は、こどもたちの『むし歯ゼロで成長すること』 を応援する歯医者です。
小さいこどもたちが楽しく通える仕組みをクリニックに散りばめ、楽しく通える環境を準備していますので、
お子さんの歯に関することは何でもお気軽にご相談ください。
| 診療時間 | 月 | 火 | 水 | 木 | 金 | 土 | 日・祝 |
|---|---|---|---|---|---|---|---|
| 9:30〜13:00 | ○ | ○ | ○ | × | ○ | ☆ | × |
| 14:30〜18:00 | ○ | ○ | ○ | × | ○ | ☆ | × |
当院ではお子さんの成長に合わせてできることを少しずつ進めていきます。だから、当院では泣く子がほとんどいません。 普通の歯科医院では泣いても無理に治療をすることがよくあります。そのせいでお子さんは歯医者嫌いになり、むし歯がひどくなってしまうのです。 当院にはお子さんを泣かさずにむし歯0を目指せる仕組みがあります。お子さんが泣かずに通ってむし歯0を目指したいと思われる方には最適な歯医者です。
お子さんが楽しく遊べるおもちゃや本がいっぱいのキッズスペースがあります。その他にも楽しく通えるような仕掛けをたくさん用意しています。 たとえば診察終わりにはお子さんの写真撮影。院内は笑顔の写真でいっぱいです。 帰るときは、院長とハイタッチ!お子さんもスタッフもにっこり笑ってみんなでバイバーイ。 「また行きたーい」と言ってもらえる歯医者を目指しています。
こどものつめ物はとれやすいのです。院長はインプラントの専門医として緻密なミリ単位の治療技術を磨いてきました。 その緻密な技術でこどものむし歯治療も妥協することなく、とれにくい治療にこだわっています。 小児歯科の専門医以外ではほとんど使われることがない笑気麻酔・ラバーダムを使用することでワンランク上のこどものむし歯治療を行っています。
清潔で気持ち良く通院していただきたい。その思いから、専任のクリーンスタッフが毎朝1時間、医院の清掃をしっかりと行なっています。 感染予防にもこだわっています。器具・機材の消毒滅菌を徹底しています。 院内の清掃と器具の消毒滅菌は当院が最も大切にしていることの1つです。
こどもたちが「むし歯ゼロで成長すること」を応援する歯医者です。
初めまして、長谷川デンタルクリニック院長の長谷川健です。
今や、むし歯ゼロは、とても簡単に達成することができる時代になりました。
にもかかわらず、相変わらずむし歯をつくってしまうこどもがたくさんいます。
そうならないように、歯がはえたら私たちに診せてください。
小さいこどもたちが楽しく通える仕組みをクリニックに散りばめ、楽しく通える環境を準備しています。
お子さんの歯に関することは何でもお気軽にご相談ください。
お子さんが「矯正治療」をはじめる時に直面する問題は 「装置が目立つ」、 そして「歯を抜く」ことがあげられます。
10歳を超えてからの治療開始ではそのようにならざるを得ないことが多いのです。
しかしながら、5〜7歳頃に治療をスタートすれば 目立ちにくい装置で、歯を抜かずに治療できることがあります。
また5〜7歳頃から治療を開始すると、骨格を改善することが可能です。
骨格が改善されるとお顔つきが良くなることが期待できます。
このように低年齢で矯正治療をスタートすることで得られるメリットがたくさんあります。
お子さんの歯並びで心配なことはお気軽にご相談ください。
10歳を過ぎてからの矯正治療の場合、大人の歯を抜いて治療することが多くなります。 一方、下の前歯が生えてくる5〜7歳頃から治療を始めると、大人の歯を抜かずに治療することが可能です。 抜かずに治療するには早期に治療を開始することが大切です。
矯正治療でよく使われるはり金の装置は目立ってしまいます。 当院では、こども専用の取り外し式のマウスピース型装置を用います。 装置を使うのはご自宅で起きている時の1時間と夜寝ている時です。 学校につけていく必要が無いので、周りの人に気づかれずに治療を進められます。
取り外し式のマウスピース型装置はシリコン製で柔らかいです。 痛みを感じることはほとんどありません。
オーストラリア発祥の世界的な矯正グループであるマイオブレースメンバーに加盟しています。 こどもの矯正では世界最大級のグループです。 今や世界中のこどもたちがこのマイオブレース矯正治療を受けています。 そのシステムに沿った安心安全でかつ信頼できる治療を心がけています。 マイオブレースメンバーに加盟して正規でこの治療法を提供しているのは札幌では当院を含めたったの2医院です。
歯並びが悪いのは、あごの骨が成長不足で小さいことで起こります。 当院で行なっているこどもの歯ならび治療はあごの骨に働きかけることができます。 骨に働きかけることで成長不足のお子さんの骨が成長して、顔つきが良い方向に変わっていく可能性があります。 実は大きくなってからの矯正治療は歯が並んでいるだけで骨やお顔つきは変わっていないのです。 5〜7歳ぐらいで治療を開始すると成長不足の骨に働きかけて、より良い顔つきになれる可能性があります。
マイオブレース治療を厳守しながら必要な場合にはバイオブロック治療やその他の方法も提案します。 その子にとって最も最適な方法を最適な時期を選択して治療していきます。
長谷川デンタルクリニックでこの方法で治療した子どもたちは500名に迫り、さまざまなノウハウが蓄積しています。
今では治療をとてもシンプルに捉えることができています。
スタッフの連携も良く、楽しみながら効率的に治療を進められます。
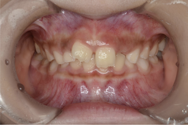
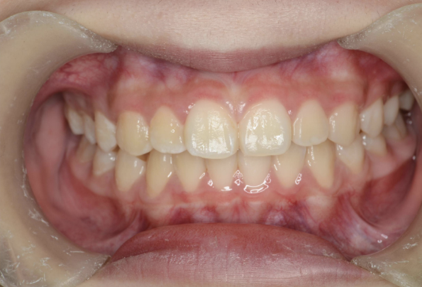
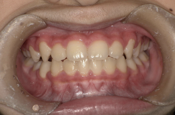
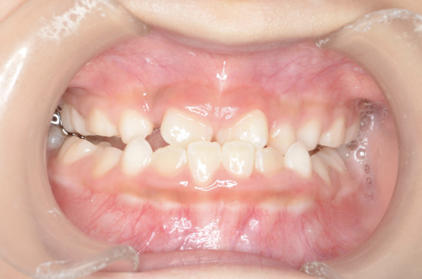
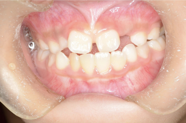
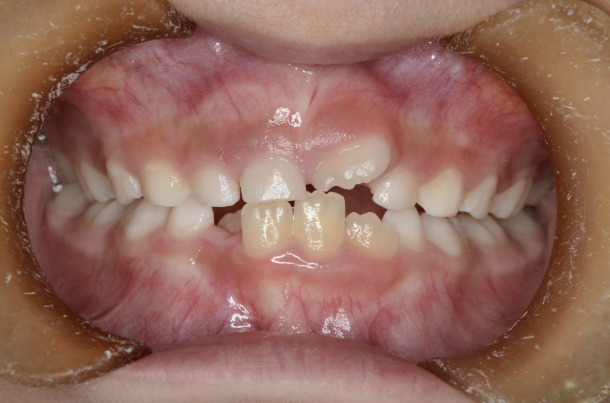
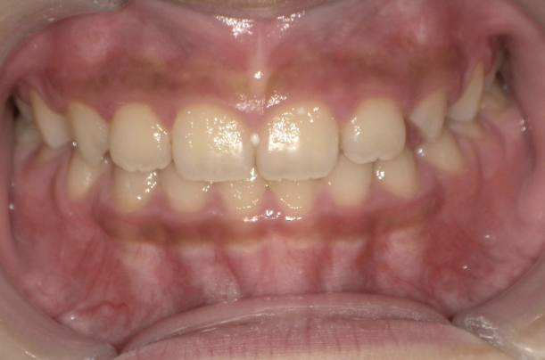
反対咬合(受け口)の治療も
反対咬合(受け口)の治療も
※治療結果には個人差があります。
負担の少ないこども専用の矯正治療です。
きれいな歯並びと良い顔つき、正常な呼吸や睡眠を手に入れるために必要な費用が
総額で(⽉々の調整料や追加費用はありません)
マイオブレース矯正治療は歯並びだけでなく、呼吸や姿勢を改善し、良い顔つきや健全な全身の発育に寄与する治療です。
※7歳以下は2期的な治療も含めた料金です。8歳以上はマイオブレース治療で並ばなかった際には2期的な治療として追加の費用が必要になることがあります。 ですので、どうぞお早めにご相談ください。
状況などにより異なります。
12歳以上でも様々な方法に対応しております。まずはご相談ください。相談は無料です。
治療に協力的で順調に進んだ場合は平均2〜3年です。
この治療はお子さんの気持ちとご家族の気持ちが大切な治療です。事前にお子さんご本人にもしっかりと説明をしてから行います。 治療を進められるかをしっかりと見分けてからスタートしていきます。
下の前歯が生えてくる頃、およそ5〜7歳のうちに治療を始めるのが最適です。
84回までの分割が可能です。8歳までの治療費660,000円税込を84回でお支払いいただくと、 月々8,900円のお支払いで治療を受けていただくことができます。