新着情報
01
通いやすさへの配慮
お車で通院される方も安心いただけるよう、敷地内に6台分の駐車スペースをご用意しています。雨の日や小さなお子様連れの方でもスムーズにご来院いただけます。
アクセス案内
全ての診療台にマイクロスコープを備えるとともに最新CTを導入し、正確な診断と治療を行っています。マイクロスコープは肉眼や従来の拡大鏡に比べて視野が広がり、鮮明なのが特長。各治療で健全な歯質を可能な限り残すことができ、体に対する負担や痛みが少なく早期の治癒につながります。これらの治療記録は、患者さんにも提供しています。
私たちは「全てのものを介して感染が広がる恐れがある」ことを念頭に、使用器具の消毒・滅菌、クリーンな環境づくりに取り組んでいます。洗浄・消毒した器具は、ヨーロッパ基準の滅菌機を用いて菌やウイルスを死滅させます。ハンドピース(歯を削る機械)の滅菌や患者さんごとのグローブ交換はもちろん、口腔内外の削りかすによる飛沫を吸い取る口腔外サクションなども設置。新型コロナの対応として、手指消毒や換気にも努めています。
「患者さんの生涯にわたる健康をサポートする」ことを考えたときに、そのスタートであるこどもの頃からの予防や治療がカギになります。私たちのクリニックでは、むし歯の治療・予防、そして顎の成長発育が進む小児期(0〜12歳)の治療で将来の不正咬合(噛み合わせの不具合など)を予防する「マイオブレース」矯正治療に積極的に取り組んでいます。
それぞれの治療のメリット・デメリットをお伝えし、患者さんの要望を確認しながら治療を進め、できるだけ痛みが少なく削らない・抜かない治療を心がけています。治療の際には痛みが最小限になるような工夫も。治療部位や健康な歯を維持するためのメンテナンスに、徹底的に取り組んでいます。
「痛い」「怖い」イメージのある歯科医院が、心地よい“お口のクリーニング”の場になるよう、明るく広い待合室とお子さんが遊べるキッズルームを設けています。楽しく、リラックスできる空間づくりで、小さなお子さんからお年寄りの方々まで地域の皆様が気軽に来院できるクリニックを目指しています。

根本から改善する「マイオブレース」
数々のお子さまの歯の問題を解決してきた医師が、見た目だけでなく根本から改善していく矯正治療方法「マイオブレース」を採用。
長谷川デンタルクリニックの小児矯正

しっかりと「自分の歯で噛める」
再生医療と連携し、しっかり噛める機能回復をサポートする治療です。
長谷川デンタルクリニックのインプラント治療
当院では、お子さまの歯並びをより早く、負担なく改善するための矯正治療を行っています。治療は、目立たない装置を使い、痛みも少なく進めていきますので、お子さまも安心して治療を受けられます。さらに、治療を早めに始めることで、歯並びだけでなく、顔の形や骨格も整えられるチャンスがあります。私たちは、世界的に信頼されている「マイオブレース」の方法を取り入れ、お子さま一人ひとりにぴったりの治療を行っています。歯並びや成長について気になることがあれば、どうぞお気軽にご相談くださいね。
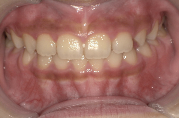
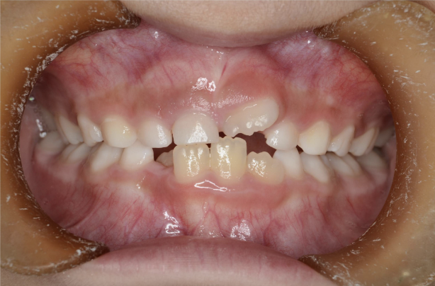
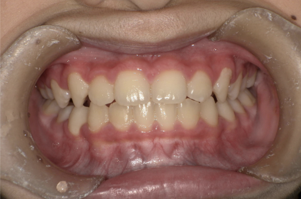
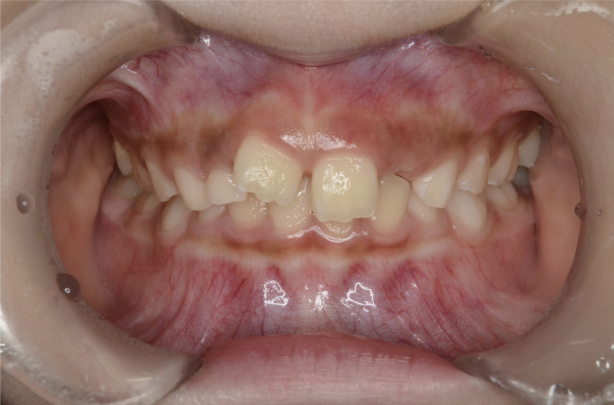
歯並びが
ガタガタ
前歯が
出ている
下顎が
出ている
すきっ歯
噛み合わせの
ズレ
噛み合わせが
深い
前歯が
噛み合わない
お子さまの歯並びが
気になるときは
ご相談ください!!
長谷川デンタルクリニックのホームページにご訪問いただき、ありがとうございます。
院長の長谷川 健です。
開院以来、歯の健康をまもることはどんな方の力にもなると信じ、セラミック治療やホワイトニングなどの審美歯科、インプラント、そして歯周病治療、予防歯科にも力を入れてまいりました。
歯ぐきでこまって、誰にも言えなかった方にも… いつまでもご自身の歯を大切にできるよう、心と姿勢を尽くして診療いたします。
品質の高さと同時に、メンテナンスで悩ませることのない自然な歯の生き方を守り抜けるよう、患者さまの未来に貢献したいと考えています。
現金、クレジットカード、デンタルローンでのお支払いが可能です。
保険診療にもクレジットカードをご利用いただけます。
コラム